1.环氧树脂包埋 将一定大小的组织片(免疫染色的切片)或未染色的组织块直接脱水,环氧树脂包埋后,制作超薄切片,进行包埋后染色,再经常规电镜样品制备处理;另外,包埋前染色的标本也可将切片贴在载玻片上,然后将充满环氧树脂的硅胶囊倒置于切片上聚合,原位包埋,类似于贴壁培养细胞的常规电镜处理。 本文来自实验室前沿
2.低温包埋 前面所述的环氧树脂包埋需高温聚合,易使组织细胞的抗原性丢失,因此在免疫电镜技术中,许多实验室着手研究低温包埋剂,尝试低温包埋方法,特别是20世纪80年代免疫细胞化学技术在电镜中广泛应用,加速了低温包埋剂的实验研究,许多低温包埋剂相继问世。低温包埋剂多为乙烯系化合物如Lowicryls、LRWhite和LRGold等,常用于铁蛋白或胶体金免疫电镜技术的包埋后染色,能检出应用环氧树脂包埋难以检出的多种抗原。现将常用的几种低温包埋剂及其应用简介如下:
(1)Lowicryls:Lowicryls是丙烯酸盐(acrylate)和甲基丙烯酸盐(methacrytate)化学物质,包括K4M、K11M、KM23等。其主要特点是在低温下(K4M:一35℃;K1tM和KM23:-60~-80℃)仍保持低黏度,并具有在紫外光(波长360nm)照射下聚合的能力。这种光聚合作用与温度无关,但实验中为保持包埋剂的低黏稠度,以利于其向组织细胞内渗透,要求在低温下照射。在这些包埋剂中,K4M和K11M具有亲水性,能较好地保持组织细胞的微细结构和抗原性,特别适于免疫细胞化学染色,且背景染色低,是超微结构定位组织细胞抗原的良好包埋剂。KM23为疏水性,图像反差好,较适于扫描电镜和透射电镜的暗视野观察标本制作。
1)包埋剂的配制:商品Lowicryls包埋剂由三部分组成,即单体(monomer)、交联剂(crosslinker)和引发剂(initiator)。调整单体和交联剂的比例,可制备软硬度合适的包埋块(包埋时多用硅胶囊代替橡胶或塑料制品,后两者影响紫外线的吸收)。配制比例
K4M 8.65g l7.30g 25.95g 34.6g
交联剂 1.35g 2.70g 4.05g 5.4g
引发剂 0.05g 0.10g 0.15g 0.20g
合计 10.05g 20.10g 30.15g 40.20g
一般可分别用注射器取包埋剂,置于玻璃烧杯内,天平称量,将三者按顺序加入后用玻璃棒轻轻搅动3~5分钟。切忌过分用力搅拌,以防产生气泡,影响包埋效果。
|
2)包埋:标本相继用65%乙醇0℃脱水1小时,80%乙醇-25℃脱水2小时,在1:1和2:1的LowicrylK4M包埋剂,/80%乙醇中,分别浸透1~2小时(一25℃),在纯LowicrylK4M包埋剂中浸透2小时(-25℃),更换纯LowicrylK4M包埋剂,浸透过夜(-25℃),继而将新鲜纯包埋剂置于包埋模具内,将组织轻轻移人,以紫外线灯(波长360nm)距标本30~40cm照射24小时(-25℃),使之聚合。聚合后的胶囊可移至室温,继续在紫外线灯下照射2~3天,以增加包埋块硬度,有利于制作优良的超薄切片。为缩短整个实验流程时间,也可采用快速包埋法.即仅聚合步骤在低温下进行,其余所有步骤在4℃或室温处理。
3)免疫染色:将制作的超薄切片(厚60—80nm)贴于镍网上,自然干燥,继之于湿盒内进行包埋后免疫染色(室温),用金标记抗体或铁蛋白标记抗体作为第二抗体。必要时可用1%OsO4后固定30分钟(室温),以增强切片的反差。
(2)LRWhite和LRgold:二者均为透明树脂,是一种混合的丙烯酸单体,黏度非常低,具有较强的嗜水性,故穿透性较强,有利于抗体和其他化学物质进入LR树脂内,与组织细胞抗原结合。因该类树脂具有良好的亲水性,所以,标本可不用完全脱水,至70%乙醇即可直接进行树脂包埋,有利于保持组织细胞的抗原性。LRgold是一种光引发的低温聚合包埋剂,聚合温度在-25℃左右,因聚合后呈金黄色而得名。该树脂能最大限度地保持组织细胞的抗原性.特别适于免疫电镜的抗原定位研究。LRWhite可在高温和低温两种情况下聚合,前者在60℃聚合24小时,后者在-25℃有加速剂存在的条件下聚合48小时.配制方法可参考产品说明书。样品处理和免疫染色同Lowicryl包埋齐剂。
|
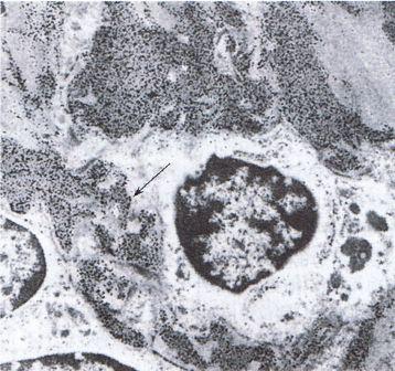
低温包埋剂包埋后免疫胶体金电镜图(箭头所示球内系膜蛋白沉积)
|
Lowicryl和LR等低温包埋剂需在低温暗处(-20℃)保存。因其有一定的刺激性,配制时应戴手套,并在通风橱内操作.以免有害气体刺激眼睛,如不慎接触应立即流水冲洗。










