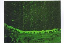
过去用于检测Tg自身抗体的方法有:沉淀试验、间接免疫荧光(11F)、血凝试验、ELISA和放射定量分析。目前常用IIF法和ELISA法。IIF法荧光图形为在甲状腺滤泡腔内出现波浪状着染。 本文来自实验室前沿
在甲状腺炎患者中抗TPO抗体检测方法的灵敏度稍逊于抗Tg抗体,但实际上两者的检出率不相上下。用高灵敏度方法检测Tg,可能会降低与疾病相关的特异性。一些评估Tg自身抗体特异性的研究表明,甲状腺功能正常的个体与自身免疫性甲状腺炎免疫应答之间存有一定的差别。正常人亦可产生能识别相同或具有交叉反应性抗原表位的抗体。另一方面,慢性甲状腺炎患者能产生识别Tg分子中种族特异抗原表位。
抗Tg抗体和抗TPO抗体为甲状腺炎的鉴别诊断提供有效的检测手段,98%以上的甲状腺炎症患者血清中含其中一种或两种自身抗体,如Tg、TPO抗体均为阴性的就可排除甲状腺炎。但是,呈阳性者亦不能排除甲状腺癌和甲状腺功能亢进,由于这两种疾病患者也能产生抗Tg和(或)TPO抗体。此外,相当一部分正常人血清中也存在上述两种自身抗体,且与年龄、性别相关。慢性甲状腺炎患者自身抗体水平偏低。
英国的一个研究小组对甲状腺自身抗体阳性跟踪随访20年得出结论,甲状腺自身抗体持续阳性是日后发生自身免疫性甲状腺功能障碍的一个危险因子。分化型甲状腺癌术后患者血清Tg抗体水平升高,预示复发或转移。
关于Tg抗体在甲状腺疾病或其他疾病中的检出率,因检测方法和调查人群的不同而异。用鞣酸红细胞凝集法检测Tg抗体,显示慢性淋巴细胞甲状腺炎阳性率为76%,原发性黏液腺瘤为72%、甲状腺功能亢进33%,胶质性甲状腺肿大8%,结节性甲状腺肿85%,甲状腺腺瘤28%,甲状腺癌则为13%~65%不等。抗Tg抗体亦可出现在其他内分泌疾病中,如恶性贫血(27%),Addison病(28%)以及糖尿病(20%)。随机抽样700名健康女性,18%含有抗Tg抗体。但抗体检出率随年龄不同而不同,老年女性30%为阳性;而同龄男性为3%~6%。除了年龄、地理分布和环境因素(如饮食中碘含量)都能影响Tg抗体的检出率。










